Abszess – Symptome und Behandlung
HautlexikonSeit Tagen macht sich auf der rechten Wange eine geschwollene Stelle unter der Haut bemerkbar. Sie spannt und schmerzt, ist gerötet und heiß. Mit jedem Tag scheint sie etwas größer zu werden und zieht mittlerweile alle Blicke auf sich. Dr. Hendrike Durani...
Acrodermatitis Chronica Atrophicans: Symptome & Therapie
Bei der Acrodermatitis chronica atrophicans, auch Herxheimer-Krankheit genannt, bilden sich vor allem an den Gliedmaßen Hautveränderungen aus. Diese Krankheit tritt im Spätstadium einer Borreliose auf, also einer Infektion mit bestimmten Bakterien (Borrelia...
Akne – Ursachen, Online-Diagnose und Behandlung durch Hautärzte
HAUTLEXIKONMit Beginn der Pubertät zeigen sich bei vielen Jugendlichen erste Pickel. Dies sind oft sind die ersten Anzeichen einer Akne. Doch wie entsteht Akne und wann ist ein Besuch beim Facharzt erforderlich? Und wie wird diese Hauterkrankung richtig behandelt?...
Aktinische Keratose – Aussehen, Online-Diagnose, Behandlung
HAUTLEXIKONDie aktinische Keratose ist eine Hautkrebs-Frühform und zeichnet sich durch bösartige Zellveränderungen in der obersten Hautschicht aus. Wachsen die Krebszellen von dort in die Lederhaut hinein, liegt ein spinozelluläres Karzinom vor. Dieses muss in den...
Allergisches Kontaktekzem: Ursachen, Symptome & Behandlung
HAUTLEXIKONWenn die Haut juckt, brennt oder auch plötzlich nässende Rötungen aufweist, kann es sich um ein allergisches Kontaktekzem handeln. Wie eine sogenannte Kontaktallergie oder auch allergische Kontaktreaktion entsteht, wie die Behandlung erfolgt und wann Sie...
Altersflecken – Aussehen, Ursachen und Entfernung
HAUTLEXIKONAuf Handrücken und Unterarmen, selbst im Gesicht und auf dem Dekolleté - ab einem gewissen Alter machen sich die sogenannten Altersflecken breit. Sie sind vielleicht lästig, aber vollkommen harmlos. Die Abgrenzung zu Hautkrebs ist jedoch wichtig. Über...
Alterswarzen (seborrhoische Keratose) – Online-Diagnose & Entfernung
HAUTLEXIKONIm Gesicht, auf der Brust oder dem Handrücken - im höheren Lebensalter können sich an vielen Körperstellen kleine rundliche oder ovale Warzen bilden. Die medizinische Bezeichnung für diese Alterswarzen lautet "seborrhoische Keratose". Die Warzen verursachen...
Anlagebedingter Haarausfall – androgenetische Alopezie: Das hilft!
HautlexikonDie androgenetische Alopezie, also der anlagebedingte Haarausfall, stellt die am häufigsten auftretende Form von Haarausfall bei Mann und Frau dar. Dieser Fachartikel zeigt, welche Symptome auf einen anlagebedingten Haarausfall hinweisen und welche Therapie...
Ausschlag auf der Haut – Ursachen & Online-Diagnostik
HautlexikonFlecken, Pusteln, Bläschen oder andere Veränderungen der Haut zeigen sich teilweise völlig ohne Empfindungsbeeinträchtigungen, mitunter jedoch auch mit mehr oder weniger starkem Juckreiz, Spannungsschmerz und anderen Beschwerdebildern. Der Arzt spricht...
Balanitis (Vorhaut-Problem an der Eichel) – Online-Diagnose & Therapie
HAUTLEXIKONSie haben schmerzen bei dem Vor- und Zurückschieben der Vorhaut an der Eichel des Penis? Dabei kann es sich um eine Balanitis handeln. Hier erfahren Sie von Dr. Titus Brinker, Arzt für Haut- und Geschlechtskrankheiten an der Universitätsklinik in...
Basaliom (weißer Hautkrebs) – Online-Diagnose von Hautfachärzten
HAUTLEXIKONEin Basalzellkarzinom entwickelt sich aus den Basalzellen der Epidermis und den Wurzelscheiden der Haarfollikel. Der Begriff Basaliom wird gleichbedeutend für diese Hautkrebs-Art benutzt. Unbehandelt können die Tumoren in das umliegende Gewebe...
Bindehautentzündung: Ursachen, Aussehen, Online-Diagnose & Therapie
HautlexikonWenn die Augen anfangen zu jucken und zu brennen und Absonderungen die Lider verkleben, wenn sich das Weiße stark rötet und Tränen ungewollt fließen, kann dies die Ursache für eine Bindehautentzündung (medizinisch: Konjunktivitis) sein. Die Erkrankung kommt...
Blasen auf der Haut – Ursachen, Online-Diagnose & Therapie
HautlexikonWenn sich auf Ihrer Haut mit Flüssigkeit gefüllte Blasen in unterschiedlicher Größe bilden, ist das ein eindeutiges Zeichen dafür, dass etwas mit Ihrem Körper nicht stimmt. Allerdings ist die Anzahl der möglichen Ursachen trotz ähnlicher Symptomatik breit...
Bullöses Pemphigoid – Ursachen, Online-Diagnose, Verlauf und Therapie
HAUTLEXIKONDie Autoimmunkrankheit Bullöses Pemphigoid entwickelt sich bevorzugt bei älteren Menschen und macht sich unter anderem durch juckende, teils pralle Hautblasen bemerkbar. Über unseren Online-Hautarzt-Dienst ist eine schnelle Blickdiagnose durch Hautfachärzte...
Café-au-lait-Flecken auf der Haut – Ursachen, Symptome und Entfernung
HAUTLEXIKONCafé-au-lait-Flecken sind ungefährliche Pigmentierungen der Haut, die allerdings auf tieferliegende gesundheitliche Probleme hinweisen können. Wie es zu der Entstehung der Flecken kommt, um welche Begleiterkrankungen es sich handeln kann und was unternommen...
Candidose: Symptome und Therapie
Die Candidose, auch Hefemykose genannt, ist eine Infektion der Haut und der Schleimhaut durch Hefepilze (Candida). Sie äußert sich in durch starke Rötung, Juckreiz, Bläschen, meist im Genitalbereich, feuchten Hautfalten oder an Nagelfalzen. Bei der oralen Candidose,...
Chondrodermatitis (Ohrknötchen) – Ursachen, Symptome und Behandlung
HAUTLEXIKONSie entdecken ein schmerzhaftes Knötchen am Rand Ihrer Ohrmuschel? Es könnte sich dabei um Chondrodermatitis handeln. In diesem Fachbeitrag erfahren Sie alles Wissenswerte über Ursachen, Diagnose und Therapie dieser Knorpelerkrankung. Über unsere Startseite...
Dellwarzen (Mollusken) – Aussehen, Online-Diagnose & Therapie
HAUTLEXIKONDellwarzen, Mollusca contagiosa, sind gutartige Hautveränderungen, die vor allem bei Kindern und jungen Erwachsenen auftreten. Allerdings sind auch ältere Erwachsene davor nicht geschützt. Unsere Expertin Dr. Wiebke Sondermann, Dermatologin aus Essen,...
Dermatofibrom – was ist das?
HAUTLEXIKONAls gutartiges Geschwulst ist das Dermatofibrom weit verbreitet, zumal es in verschiedenen Unterformen auftritt. An der Bildung sind bestimmte Zellen des Bindegewebes beteiligt. Stören die Fibrome, kann der Dermatologe sie per Exzision entfernen und bei...
Dermographismus (Nesselsucht) – Ursachen, Online-Diagnose, Therapie
HAUTLEXIKONDermographismus tritt in unterschiedlichsten Formen auf, die von harmlosen Hautreaktionen auf mechanische Einflüsse bis hin zur physikalischen Nesselsucht reichen. Die Diagnostik ist ausgesprochen wichtig, um eine geeignete Behandlungsstrategie zu...
Dyshidrotisches Handekzem – Symptome und Behandlung
HAUTLEXIKONJuckende Bläschen an Handflächen und Fingerseiten sind die typischen Symptome dieser Hauterkrankung. Ein dyshidrotisches Handekzem kann durch unterschiedliche Faktoren verursacht werden kann. Die Heilungschancen sind sehr gut, bedürfen aber einer genauen...
Erythema multiforme – Symptome, Online-Diagnose und Therapie
HAUTLEXIKONEin Erythema multiforme ist eine Hauterkrankung mit unterschiedlichen Erscheinungsformen. Grundsätzlich bezeichnet der Begriff "Erythem" immer eine entzündliche Rötung der Haut. Die Rötung entsteht durch eine verstärkte Durchblutung wegen einer...
Feigwarzen: Ansteckung, Online-Diagnose & Behandlung durch Hautärzte
HAUTLEXIKONGenitale Warzen sind eine der häufigsten sexuell übertragbaren Infektionen. Die auch als Feigwarzen oder Kondylome bekannten Hautknötchen treten bei Männern und Frauen im Anal- und Genitalbereich, seltener im Mund auf. Sie sind etwa stecknadelkopfgroß,...
Follikulitis: Symptome & Therapie
HAUTLEXIKONEine Follikulitis wird auch als oberflächliche Haarfollikelentzündung oder Ostiofollikulitis Bockhart bezeichnet. Charakteristisch für eine Follikulitis ist das plötzliche Auftreten von Pusteln mit einem geröteten Rand – vergleichbar mit einem Pickel. Eine...
Fordyce-Flecken: Symptome & Therapie
Fordyce-Flecken werden auch als freie oder ektope bzw. unabhängige Talgdrüsen bezeichnet. Sie treten vor allem vor allem im Bereich der Halbschleimhäute auf. Halbschleimhäute sind die benachbarten Hautpartien der Schleimhäute an den Körperöffnungen, wie zum Beispiel...
Fußekzem: Ursachen, Online-Diagnose und Therapie durch Hautärzte
HautlexikonDie Haut an den Füßen rötet sich, es bilden sich Bläschen und Sie spüren einen starken Juckreiz. Hinter diesen Erscheinungen kann ein Fußekzem stecken. Wenn sich die Haut zusätzlich schuppt und Krusten entstehen, ist ein Ekzem wahrscheinlich. Als Auslöser...
Fußpilz: Ansteckung, Online-Diagnose und Behandlung von Hautärzten
HAUTLEXIKONWas ist Fußpilz? Welche Ursachen hat der Befall? Wie kann ich Fußpilz am besten behandeln und vorbeugen? Wie erfolgt die Ansteckung? Auf diese und weitere Fragen zum Thema erhalten Sie Antworten in diesem Fußpilz-Fachartikel. Darüber hinaus haben Sie die...
Genitalherpes: Ansteckung, Online-Diagnose & Behandlung
HAUTLEXIKONSchmerzhaftes Kribbeln im Intimbereich, Jucken und Brennen, Rötungen und wassergefüllte Hautbläschen, mit diesen Krankheitszeichen beginnt eine Herpes-genitalis-Infektion. Genitalherpes verbreitet sich durch Herpes-Simplex-Viren von Mensch zu Mensch. Die...
Genitale Schuppenflechte – Symptome und Behandlung
HAUTLEXIKONSowohl bei Männern als auch bei Frauen kann die Schuppenflechte (Psoriasis) an verschiedenen Körperstellen auftreten, darunter auch im Anal- und Genitalbereich. Bei etwa 30 bis 40% der Patienten ist im Verlauf der Intimbereich betroffen. Die genitale...
Gerötete Haut – Ursachen & Online-Diagnose von Hautärzten
HautlexikonGerötete Haut ist ein sehr häufiges Phänomen, das in zahlreichen Spielarten auftritt. In der Regel ist eine Hautrötung harmlos und verschwindet von allein wieder - manchmal schneller, manchmal langsamer. Oft genug ist eine gerötete Haut jedoch das Symptom...
Granuloma anulare – Ursachen, Online-Diagnose & Behandlung
HAUTLEXIKONSie bemerken auf ihrer Haut kleine Knötchen, verspüren aber weder Schmerzen, noch Juckreiz? Die Ursache dafür könnte die Hautkrankheit Granuloma anulare sein. In diesem Fachartikel erfahren Sie Wissenswertes über Ursachen, Symptome und Behandlungsmethoden...
Gürtelrose: Ursachen, Online-Diagnose & Therapie durch Hautärzte
HAUTLEXIKONDie Gürtelrose (Herpes Zoster) stellt mit ihrem typischen gürtelförmigen Hautausschlag eine nicht zu unterschätzende Virusinfektion dar. Sie ist stets die Folge einer Windpocken-Erkrankung, die oft bereits Jahre zuvor durchgemacht wurde. Auslöser für Herpes...
Hagelkorn (Chalazion) – Online-Diagnose & Therapie durch Hautärzte
HAUTLEXIKONSie möchten wissen, was ein Hagelkorn ist, wie Diagnose und Therapie verlaufen und welche Ursachen für die entzündliche Erkrankung verantwortlich sind? Hier finden Sie die Antworten unserer Expertin Dr. Hendrike Durani, Dermatologin in Heidelberg. Über...
Haarausfall: Was Männer und Frauen wissen sollten!
HautlexikonJeder Mensch verliert pro Tag durchschnittlich 70 bis 100 Haare. Das ist ein völlig normaler Vorgang und kein Grund zur Sorge. Anders sieht es dagegen aus, wenn Sie verstärkt viele Haare verlieren. In diesem Fall ist es interessant, die Ursachen von...
Haarausfall bei Frauen: Ursachen, Formen, Online-Diagnose & Therapie
HautlexikonHaarausfall ist ein Problem, das bei weitem nicht nur Männer betrifft. Auch Frauen können an verschiedenen Formen des Haarausfalls leiden. Hier ist der Leidensdruck meist deutlich höher als bei Männern mit lichtem Haupthaar. Die Ursachen für den Haarverlust...
Hautausschlag im Gesicht – Ursachen, Online-Diagnose & Therapie
HAUTLEXIKON Auffällige Hautveränderungen wie Bläschen, Flecken oder Pusteln gehen nicht immer mit spürbaren Beschwerden einher. Unter Umständen können jedoch Schmerzen, Juckreiz und andere Unannehmlichkeiten auftreten. Bei einem Hautausschlag, in der Fachsprache auch...
Haarausfall bei Männern: Ursachen, Formen, Online-Diagnose & Therapie
HautlexikonHaarausfall ist eine äußerst unangenehme Angelegenheit, von der die meisten Männer im Verlauf ihres Lebens auf die eine oder andere Weise betroffen sind. Gerade bei jüngeren Männern führt das schütterer werdende Haupthaar oft zu Problemen mit dem...
Hämangiom (Blutschwämmchen) – Aussehen, Behandlung & Entfernung
HAUTLEXIKONSelten trifft der Beiname einer Krankheit so daneben wie im Falle des Hämangioms. Im Hinblick auf seine mögliche Größe und seine optische Wirkung scheint die Bezeichnung "Blutschwämmchen" fast etwas harmlos. Doch tatsächlich sieht ein Hämangiom meist...
Handekzem: Ursachen, Online-Diagnose und Behandlung durch Hautärzte
HautlexikonRötungen, Bläschen und quälender Juckreiz - ein chronisches Handekzem belastet! Nicht selten will das Handekzem wochen- und monatelang einfach nicht verschwinden - oder tritt in Schüben immer wieder auf. Betroffene erleben ihr Handekzem als immense...
Hautausschlag – Online-Diagnose & Behandlung
HAUTLEXIKONEin Hautausschlag kann in vielfältiger Form an den unterschiedlichsten Körperstellen auftreten und hat zahlreiche Ursachen. Er äußert sich zum Beispiel in roten Pusteln und Flecken, Bläschen, Knötchen oder Schuppen. Dieser Ratgeber informiert ausführlich...
Hautausschlag in der Schwangerschaft: Ursachen & Therapie
HAUTLEXIKONEin Baby auszutragen gehört für viele Frauen zu den schönsten Erfahrungen im Leben. Gerade, wenn es sich um die erste Schwangerschaft handelt, wartet beinahe täglich ein neues spannendes Erlebnis auf die werdende Mutter. Doch allzu oft schließt sich die...
Hautkrebs erkennen: Bilder & Online-Diagnose durch Hautärzte
HautlexikonSie bemerken einen verdächtigen Fleck auf Ihrer Haut und Sie machen sich Sorgen, dass es sich um Hautkrebs handeln könnte? Neben dem gefürchteten malignen Melanom gibt es noch weitere Hautkrebsarten, die sich früh erkannt gut therapieren lassen. In diesem...
Hautpilz: Infektionswege, Online-Diagnose & Therapie durch Hautärzte
HAUTLEXIKONHautpilz kann jeden treffen. Ebenso können verschiedene Körperpartien wie Füße, Nägel, Kopfhaut, Gesicht oder Hände betroffen sein. Die Sporen bevorzugen es warm und feucht, doch auch trockene Haut birgt Risiken. Die Anfälligkeit variiert von Mensch zu...
Hämorrhoiden: Symptome & Therapie
Hämorrhoiden sind Vergrößerungen der Blutgefäße (Plexus haemorrhoidalis), die sich um den After herum befinden. Symptomatisch äußern sie sich durch Schmerzen, Brennen und Juckreiz, oft auch In Verbindung mit dem Stuhlgang. Verursacht werden die Hämorrhoiden durch...
Heuschnupfen / Pollenallergie – Ursachen, Symptome & Therapie
HautlexikonAkuter Heuschnupfen (auch als Pollenallergie oder Pollinosis bezeichnet), kann einem Allergiker den Aufenthalt in der freien Natur gründlich verleiden. Allerdings hat die moderne medizinische Forschung auch in diesem Bereich Fortschritte gemacht. So klärt...
Hidradenom (Syringom): Aussehen, Online-Diagnose & Therapie
HAUTLEXIKONEs fallen beim Blick in den Spiegel kleine Knötchen auf. Ihr Durchmesser ist kleiner als 3 Millimeter. Ihre Oberfläche erscheint rundlich oder etwas erhaben. Sie sitzen bevorzugt im Bereich der unteren Augenlider und der oberen Wangenpartie. Sie können aber...
Hirsutismus – Ursachen, Symptome, Online-Diagnose & Therapie
HautlexikonWenn Frauen und Kinder plötzlich eine starke Behaarung an Stellen, die eigentlich für Männer typisch sind, aufweisen, könnte Hirsutismus vorliegen. Besonders bekannt ist hier der sogenannte Damenbart. Dieser Artikel beleuchtet die Ursachen und zeigt, wie...
Ausschlag am Hoden – Ursachen & Online-Behandlung durch Hautärzte
HautlexikonGestern war noch alles in Ordnung und heute zeigt sich ein roter Ausschlag am Hoden, der zudem noch juckt? Die wenigsten Männer behalten in dieser Situation einen kühlen Kopf, denn es geht um ein sensibles Thema. Eine Ursache ist oft nicht sofort erkennbar....
Hyperkeratose: Symptome & Therapie
HAUTLEXIKONUnter einer Hyperkeratose versteht man eine übermäßige Verhornung der Haut. Ursache dafür können angeborene Störungen der Hautzellen sein. Häufig tritt eine Hyperkeratose auch als Begleiterscheinung einer anderen Erkrankung auf oder durch Druckbelastung...
Hyperpigmentierung: braune Hautverfärbungen
HAUTLEXIKONHyperpigmentierung nimmt viele Formen an: Sommersprossen, Muttermale, Leberflecken und Altersflecken sind allgemein bekannt und gelten an sich als unbedenklich. Braune Flecken in unterschiedlichen Formen und Größen können jedoch auch krankhafte Ursachen...
Hypertrophe Narben (Keloide) – Ursachen, Aussehen & Entfernung
HAUTLEXIKONAls sei die Belastung einer Operation oder Verletzung noch nicht schlimm genug, machen manche Menschen diese unangenehme Erfahrung: Plötzlich entstehen über einer OP-Naht oder nach einer anderen Hautverletzung wulstige Narben (Keloide), die spannen sowie...
Impetigo Contagiosa (Grindflechte) – Symptome, Ursachen & Therapie
HAUTLEXIKONImmer dann, wenn insbesondere Kinder sichtbare Krankheitssymptome entwickeln, ist die Panik nicht selten groß. Das betrifft natürlich auch sichtbare Erkrankungen an der Hautoberfläche. Sind es Blasen, die mit Flüssigkeit gefüllt sind? Ist unter der Blase...
Infantile seborrhoische Dermatitis: Symptome und Therapie
HAUTLEXIKONDie infantile seborrhoische Dermatitis, auch als seborrhoisches Ekzem oder seborrhoische Säuglingsdermatitis bezeichnet, ist eine kurz nach der Geburt auftretende Hauterkrankung, welche bevorzugt in der Scheitelregion, im Gesicht, am Hals und im...
Insektenstiche – Was hilft wirklich? Empfehlungen von Hautärzten
HAUTLEXIKONInsektenstiche können nicht nur sehr schmerzhaft sein, sie werden auch von quälendem Juckreiz begleitet. Auf der Haut sind Insektenstiche in Form einer rötlich verfärbten Schwellung sichtbar. Unser Experte Dr. Titus Brinker erklärt, was bei einem...
Intertrigo, der Hautwolf – ein unangenehmer Vierbeiner
HAUTLEXIKONDass Hunde ihren Halter/-innen ähneln oder umgekehrt, ist ein häufig bemühtes Klischee. Doch wie in jeder Behauptung steckt auch in dieser ein Fünkchen Wahrheit. Sie beweist sich ausgerechnet dort, wo der Spaß aufhört: bei der schmerzhaften Hautreizung...
Juckende Beine – Ursachen & Online-Diagnose von Hautärzten
HAUTLEXIKONSie leiden unter juckenden Beinen? Manchmal fällt der Juckreiz nur schwach aus, während Sie es an anderen Tagen kaum aushalten? Unabhängig davon, ob eine sichtbare Rötung vorliegt oder nicht und welche anderen Symptome Sie zeigen, sollten Sie bei einem...
Juckende Haut / Juckreiz: Ursachen & Online-Hilfe von Hautärzten
HautlexikonJuckreiz ist sehr unangenehm und kann nicht nur an bestimmten Hautstellen, sondern auch am gesamten Körper auftreten. Die Liste der möglichen Ursachen für juckende Haut ist lang und reicht von harmlosen Insektenstichen bis hin zu Hautkrankheiten wie...
Juckender Hautausschlag: Ursachen, Online-Diagnose & Therapie
HautlexikonEr gehört zu einem der häufigsten Symptome, die der Körper zeigt - und zu einem der unspezifischsten. Juckender Ausschlag kann so viele Ursachen haben, wie es Krankheiten gibt. Er begleitet sowohl psychische als auch physische Leiden und tritt häufig in...
Juckende Kopfhaut: Ursachen & Online-Behandlung durch Hautärzte
HautlexikonWenn die Kopfhaut juckt, ist schnelle Hilfe wichtig. Davon abgesehen, dass juckende Kopfhaut sehr unangenehm werden kann, muss auch die Ursache schnell abgeklärt werden. Wenn Sie eine ärztliche Einschätzung wünschen, können Sie über die Startseite Fotos und...
Katzenpilz – Symptome und Behandlung
HAUTLEXIKONDer Katzenpilz, ein infektiöser Fadenpilz, ist häufig bei streunenden Katzen anzutreffen. Durch Hautkontakt wird er auf den Menschen übertragen und verursacht einen hartnäckigen, juckenden Hautausschlag. ↓ Was ist Katzenpilz? ↓ Symptome ↓ Behandlung ↓...
Keratoakanthom (Hautkrebs): Symptome, Diagnostik und Behandlung
HAUTLEXIKONViele Hauterscheinungen können auf eine Form von Hautkrebs hindeuten. Zeigt sich auf der oberen Hautschicht ein einzelnes, knopfartiges, knotiges Gebilde mit einer zentralen Einbuchtung und dunkler Füllung, kann es sich um ein Keratoakanthom handeln. Diese...
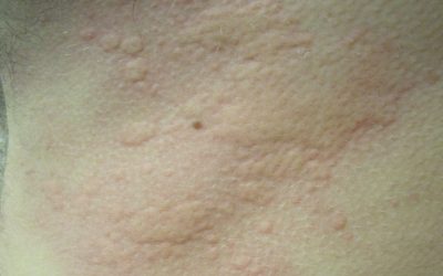
Keratosis Pilaris (Reibeisenhaut): Online-Diagnose & Hilfe von Hautärzten
HAUTLEXIKONSie sind deutlich erkennbar, die kleinen Erhebungen auf der Haut. Äußerlich gut sichtbar, gleichen diese Hautirritationen einem Pickel. Als Gesamtbild sieht es aus wie die typische Gänsehaut, die zum Beispiel bei Kälte zu beobachten ist. Die kleinen...
Kleieflechte (Pityriasis versicolor) – Ursachen, Symptome & Therapie
HAUTLEXIKONBräunliche Flecken auf der Brust, den Schultern oder im mittleren Rückenbereich sind oft ein Anzeichen einer Pilzerkrankung. Hier macht sich die Kleieflechte besonders gerne breit. Auch ein dezenter Juckreiz kann an den betroffenen Stellen spürbar sein. Wie...
Knötchenflechte (Lichen ruber planus): Ursachen & Behandlung
HAUTLEXIKONSie jucken lästig, diese flachen Hautknötchen, die sich rötlich bis braun verfärbt matt glänzen, scharf von der umgebenden Haut abgrenzen und in verschiedenen Körperbereichen auftreten können. Noch schlimmer: Sobald Sie sich kratzen, können sich diese...
Knoten auf der Haut – Ursachen & Online-Diagnose
HAUTLEXIKONSie können an allen Bereichen des Körpers auftreten: Knoten auf der Haut. Es kann sich dabei um eine Verdickung der Oberhaut, Unterhaut und des darunter liegenden Gewebes handeln Die Ursachen sind vielfältig. Unser kompetentes Hautarztteam aus Heidelberg...
Komedone-Acne (Acne Vulgaris): Was ist das? Was hilft?
HAUTLEXIKONDie Acne vulgaris ist eine entzündliche Hauterkrankung der Talgdrüsen, welche vor allem Jugendliche in der Pubertät betrifft. Häufig betroffen sind Gesicht, Schultern und Rücken. Mit ungefähr 85% zeitweise Betroffenen in der Bevölkerung ist die Acne...
Kontaktdermatitis – ein Problem, viele Namen, zahlreiche Ursachen
HAUTLEXIKONDie Überschrift deutet es schon an: bei dieser Krankheit wird es bunt. Zuerst auf der Haut, dann in der Patientenakte - denn wie die Kontaktdermatitis sich zeigt, wie der Arzt sie benennt und wodurch sie auslöst wird, ist vollkommen unterschiedlich. Nach...
Kopfläuse Befall: Symptome und Therapie
Beim Kopfläuse Befall (Pediculosis capitis) werden die etwa 2-3,5 mm großen Kopfläuse meist direkt von einem Menschen auf den anderen übertragen und sorgen vor allem im Bereich der Kopfhaut und des Nackens für starken Juckreiz und geschwollene Lymphknoten im...
Krätze (Skabies) – Ursachen, Online-Diagnose & Therapie durch Hautärzte
HAUTLEXIKONFür Harry-Potter-Freunde ist Krätze allenfalls der tierische Gegenspieler ihres Helden; für Kinder früherer Generationen war sie oft traurige Gewissheit: Die durch Milben verursachte Erkrankung Skabies begleitete Menschen über viele Jahrhunderte hinweg. Bis...
Kutaner Lupus erythematodes – Ursachen, Symptome und Therapien
HAUTLEXIKONDer kutane Lupus erythematodes (LE) ist eine chronisch verlaufende entzündliche Autoimmunerkrankung der Haut sowie des Unterhautfettgewebes. Im Vergleich zum systemischen Lupus erythematodes (SLE) wirkt er sich nicht auf die inneren Organe aus. Allerdings...
Lichen ruber planus (Knötchenflechte)
HAUTLEXIKONEtwa 1-4 % der Menschen erkranken im Laufe ihres Lebens an der Hautkrankheit Lichen ruber planus (auch: Knötchenflechte). Sie tritt bei Frauen und Männern gleichermaßen, vorwiegend im mittleren Lebensalter zwischen 30 und 60 Jahren, auf. Lichen ruber...
Lichen Sclerosus: Ursachen, Symptome, Online-Diagnose & Therapie
HautlexikonMit Jucken, Schmerzen und Überempfindlichkeit bevorzugt im Genitalbereich zeigt Lichen sclerosus zunächst sehr untypische Symptome. Auch die später hinzukommende Trockenheit und Weißfärbung betroffener Hautareale hält die Krankheit noch geheim. Erst, wenn...
Lippenherpes (Herpes labialis): Ursachen, Symptome & Therapie
HAUTLEXIKONBilden sich an den Lippen kleine Bläschen, handelt es sich aller Wahrscheinlichkeit nach um Lippenherpes (Herpes labialis). Die Virusinfektion tritt bei 20 bis 30 Prozent der Betroffenen immer wieder auf - meist infolge eines geschwächten Immunsystems....
Leukozytoklastische Vaskulitis – Symptome und Therapie
HAUTLEXIKONManche Menschen entdecken an ihren Unterschenkeln plötzlich punktförmige Rötungen, knotenartige Veränderungen und Einblutungen. Diese Hautveränderungen scheinen aus dem Nichts heraus aufzutreten. Außerdem können betroffenen Hautareale jucken oder brennen....
Milien: Was tun bei Hautgries?
HAUTLEXIKONVon einem Tag auf den anderen ist die Haut im Gesicht von kleinen harten Knötchen bedeckt, die gelblich aussehen und nicht schmerzen oder jucken? Dann handelt es sich wahrscheinlich um Milien, die auch als Hirsekorn, Grießkörner oder Hautgries bekannt sind....
Der Mongolenfleck – besonderes Mal mit besonderem Namen
HAUTLEXIKONKaum ein Hautmal ist so auf Ethnien spezialisiert wie der Mongolenfleck. Er zeigt sich so gut wie nie bei hellhäutigen Kindern, sondern fast ausschließlich bei stärker pigmentierten Babys. Dabei ist es jedoch ganz gleich, aus welchem geografischen Raum sie...
Die Mundrose (periorale Dermatitis) – Symptome, Diagnose und Therapie
HAUTLEXIKONSie leiden an einem Hautausschlag im Gesicht, vor allem rund um den Mund? Die Ursache ist vermutlich eine sogenannte Mundrose, auch als periorale Dermatitis oder Rosazea-artige Dermatitis bezeichnet. Gewöhnlich wird diese Hautkrankheit durch übertriebene...
Mycosis fungoides – Ursachen, Symptome und Therapie
HAUTLEXIKONMycosis fungoides ist eine Tumorerkrankung in der Haut. Sie wurde Anfang des 19. Jahrhunderts zum ersten Mal beschrieben und war früher unter dem Namen "Wucherflechte" bekannt. Die Mycosis ist insgesamt sehr selten und tritt bei Erwachsenen im mittleren bis...
Die Mukoidzyste – Erscheinungsformen, Online-Diagnose und Therapie
HAUTLEXIKONZysten im Gelenksbereich zeigen in ihren Ausprägungen oft Unterschiede. So tritt beispielsweise das gemeine Ganglion (Überbein) bevorzugt an Handgelenk, Fußrücken, Knie- oder Ellbogenbereichen auf. Die Mukoidzyste entsteht jedoch ausnahmslos am...
Naevus flammeus (Feuermal): Ursachen, Begleiterkrankungen & Therapie
HAUTLEXIKONWas frühere Generationen als "Feuermal" bezeichneten und mit allerlei Mythen umgaben, ist unter modernen Medizinern als Naevus flammeus bekannt. Das hell- bis dunkelrot verfärbte Hautareal hat seine Ursache in erweiterten Blutgefäßen. Das Feuermal kann an...
Storchenbiss (Nävus Unna) – Ursache, Entwicklung, Wortschöpfung
HAUTLEXIKONKaum ist das Baby zur Welt gekommen, durchfährt die Eltern ein Schreck: Im Nacken des Kleinen prangt ein großer roter Fleck! Auf besorgte Nachfrage erwidert die Hebamme mit geheimnisvollem Lächeln: "Das ist der Storchenbiss." Macht sie Scherze oder möchte...
Neurodermitis – Ursachen, Symptome, Verlauf und Behandlung
HAUTLEXIKONNeurodermitis ist eine chronisch entzündliche Erkrankung der Haut, die starken Juckreiz sowie Hautveränderungen hervorruft. Ärzte und Mediziner benutzen allerdings die Bezeichnungen atopische Dermatitis oder atopisches Ekzem (s. Begriffserklärung). Dieser...
Nummuläre Dermatitis – Ursachen, Symptome und Therapie
HAUTLEXIKONWenn die Haut juckt, wird dies meistens von den Betroffenen noch nicht als eine direkte Bedrohung der Gesundheit angesehen. In vielen Fällen stimmt diese Einschätzung und der Juckreiz lässt auch schnell wieder nach. Manchmal geht der Juckreiz jedoch einher...
Pemphigus vulgaris: Ursachen, Symptome, Online-Diagnose & Therapie
HautlexikonDer Pemphigus vulgaris ist eine Autoimmunerkrankung und zählt zu den blasenbildenden Hauterkrankungen. Typische Symptome sind die Ausbildung großer Blasen sowie damit einhergehende oberflächliche und schmerzhafte Hautdefekte, sogenannte Erosionen. Unter den...
Ausschlag am Penis: Online-Diagnose und Behandlung von Hautärzten
HautlexikonEs juckt oder brennt, sie sehen eine Rötung oder entzündete Haut? Es gibt viele Gründe für Ausschlag am Penis und keinen davon sollten Sie auf die leichte Schulter nehmen. Wir zeigen Ihnen in diesem Fachartikel alle wichtigen Ursachen, Symptome und eine...
Pickel auf der Haut – Ursachen, Online-Diagnose, Therapie
HAUTLEXIKONPickel auf der Haut sind ein Problem, mit dem fast jeder Mensch im Laufe seines Lebens einmal zu tun hat. Hinter dem Begriff stecken eine Reihe verschiedener Grundelemente krankhafter Hautveränderungen, die der Mediziner mit dem Fachbegriff Primäre...
Pilz-Infektion an der Vagina (Scheidenpilz): Ursachen & Therapie
HAUTLEXIKONZeigt sich die Scheide rot und geschwollen, kann das viele Gründe haben. Kommen Juckreiz und ein krümelig wirkender Ausfluss hinzu, liegt meist eine Pilzinfektion vor. Doch dieses Wort hören Mediziner gar nicht gern...Bild: Scheidenpilz ist den Betroffenen...
Pityriasis alba – Symptome & Therapie
HAUTLEXIKONEine hellrötlichen Verfärbung der Haut in Verbindung mit einer leicht schuppenden Oberfläche lässt sich insbesondere bei Kindern sehr häufig im Gesicht entdecken. Oft handelt es sich dabei um die ungefährliche Pityriasis alba, einen leichten Ausschlag, der...
Plattenepithelkarzinom (Spinaliom, weißer Hautkrebs): Online-Diagnose
HAUTLEXIKONPlattenepithelkarzinom (Spinaliom) - Ein Ratgeber zu den Symptomen, Risiken und Therapiemöglichkeiten dieser Form des hellen Hautkrebses. Mit zahlreichen Tipps zur Vorbeugung und Früherkennung von unserem Experten Dr. Benjamin Durani, Hautfacharzt aus...
Porokeratose (Porokeratosis) – Symptome, Ursachen und Behandlung
HAUTLEXIKONDie Porokeratose oder Porokeratosis ist eine chronische Verhornungsstörung der Haut. Einige von dieser Hauterkrankung Betroffene stellen bereits im Kindesalter schuppige Hautveränderungen besonders an den Beinen fest, die später knotig werden. Andere...
Prurigo nodularis: Ursachen, Aussehen, Online-Diagnose, Therapie
HautlexikonBei extremem Juckreiz kratzen sich Betroffene so lange, bis Hautveränderungen in Form von Läsionen und Knoten entstehen. Die Krankheit Prurigo nodularis ist im wahrsten Sinne des Wortes zum "aus der Haut fahren", wobei Patienten häufig eine jahrelange...
Purpura Schoenlein-Henoch: Symptome, Online-Diagnose, Behandlung
HAUTLEXIKONBei Purpura Schoenlein-Henoch (PSH), handelt es sich um eine entzündliche Erkrankung der kleinsten Blutgefäße, die Mediziner als Kapillaren bezeichnen. Betroffen sind in erster Linie die Kapillaren in der Haut, den Gelenken oder den inneren Organen wie Darm...
Urtikaria: Symptome & Therapie
Urtikaria (Nesselsucht): Symptome & Behandlung Juckende Quaddeln können in vielerlei Formen und Größen auf der Hautoberfläche auftreten – so vielfältig wie ihre Erscheinungsformen sind auch die Ursachen. Zusammengefasst werden diese Erkrankungen unter dem Begriff...
Vitiligo (Weißfleckenkrankheit) – Ursachen, Symptome, Verlauf & Therapie
HAUTLEXIKONWer unter Vitiligo leidet, bei dem zeigen sich weiße, scharf abgegrenzte Flecken auf der Haut. Vitiligo (auch Weißfleckenkrankheit) ist eine Pigmentstörung. Diese ungefährliche und nicht ansteckende Hautkrankheit verläuft in den meisten Fällen chronisch....
Raupendermatitis: Online-Diagnose & Therapie von Hautärzten
HautlexikonAuf einmal juckt es im Nacken, am Hals oder zum Beispiel an den Armen. Die entsprechenden Hautstellen sind gerötet und erste Schwellungen und Bläschen entwickeln sich. Dies könnten die Symptome von einem Insektenstich sein. Oder auch nicht. Denn Symptome...
Reibeisenhaut (Keratosis Pilaris) – Gänsehaut als Dauerzustand
HAUTLEXIKONGanz gleich, wie alt die Haut bereits ist: Ihre Oberfläche fühlt sich stets glatt an - auch auf und zwischen eventuellen Falten. Erst in Folge eines Kältereizes oder bei emotionaler Erregung wirkt sie uneben und rau. Dieses Phänomen ist als "Gänsehaut"...
Ringelflechte (Tinea corporis) – Ursachen, Symptome & Therapie
HAUTLEXIKONBei der Tinea corporis oder Ringelflechte handelt es sich um eine Pilzerkrankung der Haut. Symptome sind ein rötlicher, ringförmiger und juckender Ausschlag. In dessen Zentrum befindet sich häufig eine unauffällig erscheinende Hautpartie, daher auch die...
Rosazea – Ursachen, Online-Diagnose & Behandlung von Hautärzten
HAUTLEXIKONAuffällige Rötungen im Gesicht, die oft genug mit lästigen Pusteln oder Knötchen einhergehen - diese als Rosazea bezeichnete Hauterkrankung lässt sich mit wenig Aufwand und einigen Medikamenten gut behandeln. Erfahren Sie mehr über die häufige...
Röschenflechte (Pityriasis rosea) – Symptome und Therapie
HAUTLEXIKONWas ist Röschenflechte? Welche Symptome hat die Hauterkrankung mit dem medizinischen Namen Pityriasis rosea? Wie funktioniert die Diagnose und wie lässt sich Röschenflechte behandeln? Auf diese und weitere Fragen rund um das Thema Röschenflechte finden Sie...
Rote Flecken auf der Haut – Ursachen, Online-Diagnose, Therapie
HAUTLEXIKONWas sind denn das für rote Flecken auf der Haut? Sie treten oft plötzlich auf, mal ohne, mal mit Begleiterscheinungen wie Jucken oder Brennen. Weitere Symptome wie Unwohlsein, Fieber, Magen-Darm-Beschwerden gesellen sich gelegentlich hinzu. Es kann bei...
Scharlach: Ursachen, Symptome, Diagnose, Verlauf & Therapie
HautlexikonPlötzliches Fieber, hochrote Wangen und eine Mandelentzündung: Diese Symptome weisen auf die Infektionskrankheit Scharlach hin. Etwas später zeigen sich der typische Hautausschlag sowie die sogenannte Erdbeerzunge. Babys und Kinder im Schulalter sind...
Seborrhoisches Ekzem – Ursachen, Online-Diagnose & Therapie
HAUTLEXIKONUnangenehm fettige, gelblich gefärbte Schuppen, die vor allem auf der Kopfhaut gerötete Haut bedecken - ein seborrhoisches Ekzem lässt sich mit Cremes und Shampoos lindern. Unsere Expertin Dr. Hendrike Durani, Hautärztin aus Heidelberg, erklärt in diesem...
Sonnenallergie: Ursachen, Symptome, Online-Diagnose & Behandlung
HautlexikonNach einem intensiven Sonnenbad machen Ihnen Hautrötungen und Bläschen auf der Haut zu schaffen. Ein unangenehmer Juckreiz kommt hinzu. Möglicherweise handelt es sich um eine Sonnenallergie, die der Mediziner Polymorphe Lichtdermatose (PLD) nennt. Die...
Systemische Sklerodermie: Ursachen, Diagnose, Verlauf und Therapie
HAUTLEXIKONEigentlich soll das Immunsystem helfen, Krankheiten vorzubeugen respektive Viren, Bakterien und Co. abzuwehren. Somit stellt das körpereigene Immunsystem ein Abwehrbollwerk gegen Angriffe auf die eigene Gesundheit dar. Bei der systemischen Sklerodermie...
Erste Hilfe bei Sonnenbrand – Empfehlungen von Hautärzten
HAUTLEXIKONGerötete Haut, Schmerzen bei jeder Bewegung, Schwellungen leichtes Fieber - ein Sonnenbrand! Wie Sie sich dagegen schützen und was wirklich hilft, wenn dieser dennoch auftritt, erfahren Sie in diesem Beitrag direkt von Hautärzten. Über unsere Startseite...
Schuppenflechte (Psoriasis) – Ursachen, Symptome, Verlauf & Therapie
HAUTLEXIKONDie Haut ist stellenweise gerötet und schuppt. Dazu gesellt sich ein unangenehmer Juckreiz, der die Lebensqualität stark mindern kann. Treten diese Symptome auf, handelt es sich womöglich um eine Schuppenflechte (Psoriasis). Unser Experte Dr. Benjamin...
Schwarzer Hautkrebs (Malignes Melanom) – Beratung durch Hautärzte
HAUTLEXIKONSie entdecken einen stark eingedunkelten, pigmentierten Fleck auf Ihrer Haut, der sich spontan vergrößert? Dabei könnte es sich um ein sogenanntes malignes Melanom handeln. Dieser Melanom-Typ wird auch schwarzer Hautkrebs genannt und ist die bösartigste...
Syphilis: Symptome, Online-Diagnose & Behandlung durch Fachärzte
HautlexikonFür keine Infektion kennt die Umgangssprache so viele unterschiedliche Begriffe wie für die Syphilis. Sie heißt polnische, englische, italienische, spanische oder französische Krankheit; wird als Lues, Harter Schanker oder Lustseuche bezeichnet und...
Tardive Hämangiome (Blutschwämmchen) – Ursachen und Therapie
HAUTLEXIKONBei vielen Hauterkrankungen und -veränderungen kommt es zu Knötchenbildungen und rotgefärbten Hautstellen. Um welche Form der Hautveränderung es sich dabei jeweils handelt, ist für die Betroffenen dabei nicht klar ersichtlich. Die Symptome und die...
Ulcus cruris (offenes Bein): Ursachen, Diagnose, Therapie & Prognose
HAUTLEXIKONEs beginnt mit einer anfänglich kleinen Verletzung am Unterschenkel, am Fußknöchel oder am Zeh. Häufig ist nicht einmal eine äußerlich zugefügte Verletzung sichtbar. Eine tiefe Wunde scheint sich hier plötzlich ohne Grund zu entwickeln. Der...
Urtikaria (Nesselsucht) – Ursachen, Symptome, Verlauf und Behandlung
HAUTLEXIKONDie meisten Menschen werden mindestens einmal im Leben mit scharf umrissenen geschwollenen Hautflecken konfrontiert, die mit Wasser gefüllt sind. Diese Quaddeln treten meist plötzlich auf, gehen mit Rötungen und intensivem Juckreiz einher. Die Rötungen...
Ausschlag an der Vagina – das sollten Sie sofort tun!
HautlexikonHauterkrankungen im Intimbereich sind besonders unangenehm. Es juckt, es brennt, es schmerzt. Die Haut rötet sich, wird rissig oder schwillt an. Es entstehen Ausschläge, Bläschen und Ausflüsse. Für eine erfolgreiche Behandlung ist es wichtig, den Ausschlag...
Vaginitis (Scheidenentzündung) – Symptome, Ursachen & Behandlung
HAUTLEXIKONWenn es an der Scheide einer Frau juckt, brennt, alles angeschwollen ist und unangenehm riecht, dann kann es sich um eine Vaginitis handeln. Wie es zu der sogenannten Scheidenentzündung kommen kann und welche Behandlung hier am schnellsten hilft, erfahren...
Verbrennungen der Haut – Verlauf, Symptome, Narbenbildung & Therapie
HautlexikonSie möchten frischen Tee brühen, eine kleine Unachtsamkeit, schon ist es geschehen: Sie haben sich mit heißem Wasser an der Hand verbrüht. Ein brennender, pochender Schmerz, die Stelle wird rot und entzündet sich. Auch die ersten Brandblasen lassen nicht...
Verbrühungen der Haut – Verlauf, Symptome, Narbenbildung & Therapie
HautlexikonVerbrühungen und Verbrennungen der Haut treten fast immer unvorhergesehen auf. Die heiße Suppe, ein Unfall am Arbeitsplatz mit Elektrizität oder heißes Öl aus dem Fondue-Topf sind drei von vielen möglichen Ursachen. Eine ärztliche Behandlung ist bei...
Warzen (Verrucae) – Arten, Symptome und Behandlung
HAUTLEXIKONWeil Warzen unschön anzusehen sind, können sie - zumal an gut sichtbaren Stellen - für ein psychisches Unwohlsein bei den Betroffenen sorgen. Allerdings sind sie vom gesundheitlichen Standpunkt aus gesehen völlig harmlos. Dabei handelt es sich um gutartige...
Warzen (HPV-Infektion): Symptome & Therapie
Verantwortlich für die unliebsamen Warzen, sind die humanen Papillomaviren (HPV). Man unterscheidet verschiedene Arten von Warzen, verursacht durch unterschiedliche HPV-Typen. Bestimmte Virustypen können neben den meist gutartigen Warzen auch Tumore verursachen,...
Weiße Flecken auf der Haut – Ursachen, Diagnose und Therapie
HAUTLEXIKONWenn sich plötzlich weiße Flecken auf der Haut bilden, kann das eine einfache Erklärung wie einen vorausgegangenen Sonnenbrand oder trockene Haut haben, aber auch ein Anzeichen für die Krankheit Vitiligo sein. Hautarzt Dr. Titus Brinker, einer unserer...
Whirlpool-Dermatitis – Ursachen & Online-Behandlung von Hautärzten
HautlexikonWie aus dem Nichts bilden sich Pusteln auf der Haut. Große Hautbereiche sind mit oftmals symmetrisch auftretenden Rötungen und Flecken sowie von Juckreiz betroffen. Häufig kommen allgemeine Krankheitssymptome wie Fieber und Kopfschmerzen oder empfindliche...
Windeldermatitis – Symptome und Behandlung
HAUTLEXIKONZwei Drittel aller Babys leiden mindestens einmal in ihrem Leben unter einem "wunden Po". In der Medizin ist dieser auch als Windeldermatitis bekannt. Die Ursachen sind vielfältig und reichen von aggressiven Stoffen im Urin und Stuhl bis zu falscher...
Windpocken – Ursachen, Symptome, Online-Diagnose & Therapie
HautlexikonIhr Kind fühlt sich plötzlich unwohl und hat wenig später einen juckenden Hautausschlag mit Pusteln? Dann könnte es sich um Windpocken handeln. Die Kinderkrankheit verläuft meist komplikationslos. Es genügt, die Symptome zu lindern. In seltenen Fällen kann...
Hautausschlag beim Zika-Virus: Symptome und Behandlung
HAUTLEXIKONWer sich in bestimmten Ländern Mittel- und Südamerikas sowie Südostasiens aufhält, wird manchmal schon während des Aufenthalts oder kurz nach seiner Rückkehr krank. Treten dann verschiedene, überwiegend grippeartige Krankheitssymptome wie Gelenk-, Muskel-...
Zeckenbiss – sichere Entfernung, Symptome & Therapie
HAUTLEXIKONBei einem Aufenthalt im Wald oder auf einer Wiese kann es schnell und jederzeit passieren: In der Haut beißt sich eine Zecke fest. Der Zeckenbiss kann aus zweierlei Gründen gefährlich werden. Zecken können die Krankheit Borreliose übertragen. Möglich ist...
Zirkumskripte Sklerodermie (Morphea) – Ursachen, Symptome & Therapie
HAUTLEXIKONIm Allgemeinen handelt es sich bei der Sklerodermie um eine Erkrankung des Bindegewebes bzw. des Bindegewebesystems. Wieso es überhaupt zu einer Verhärtung des Bindegewebes kommt, konnten Mediziner und Forscher bislang noch nicht abschließend klären....

























































































































